少妇色情
欢迎您!访问少妇色情 官网
设为少妇色情
添加收藏
中文
EN
少妇色情
少妇色情风采
少妇色情风采
Environment & facilities
少妇色情风采
少妇色情简介
少妇色情动态
专题活动
公益项目
人才招聘
科室导航
医生团队
医生团队
Experts Team
同仁医生
医生排班表
少妇色情公告
预约医生
就医导航
就医导航
Guide
公告公示
就医指南
预约挂号
医保政策
先心病救助
特色诊疗
特色诊疗
Advanced technology
特色技术
检查项目
疾病导航
报告查询
报告查询
Physical examination report
体检报告查询
医保政策
医保政策
Medical insurance policy
医保定点资质
医保政策
报销比例咨询
公告公示
联系我们
联系我们
Contact us
医院地址
乘车指南
联系方式
在线咨询
投诉建议
少妇色情
就医导航
就医导航
DEPARTMENTS
公告公示
就医指南
预约挂号
先心病救助
DEPARTMENTS
暂无数据
科室导航
科室导航
DEPARTMENTS
医学美容
医技科室
临床科室
DEPARTMENTS
暂无数据
DEPARTMENTS
暂无数据
联系我们
联系我们
DEPARTMENTS
投诉建议
联系方式
导航地图
乘车指南
自驾车路线
疾病导航
疾病导航
DEPARTMENTS
先心病
冠心病
风湿性心脏病
骨关节疾病
脊髓炎
脊髓损伤
三叉神经痛
尿失禁
先天性小耳畸形
腰椎间盘膨出
椎管狭窄
脊髓空洞
骨质疏松性椎体压缩性骨折
心血管常见疾病
医学影像科
新闻动态
科室简介
开展项目
环境&设备
特色项目
专家推荐
热点推荐
影像科特色检查:心脏磁共振检查
作者:admin 来源:本站原创 日期:2015-02-02 字体:
大
中
小
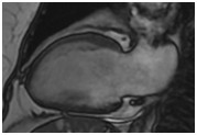
正常心肌
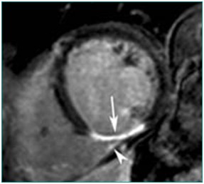
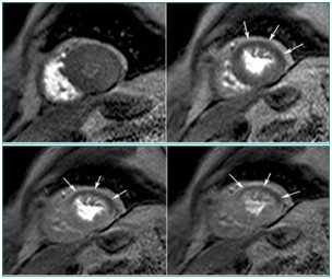
心肌灌注(病例-心肌梗死)